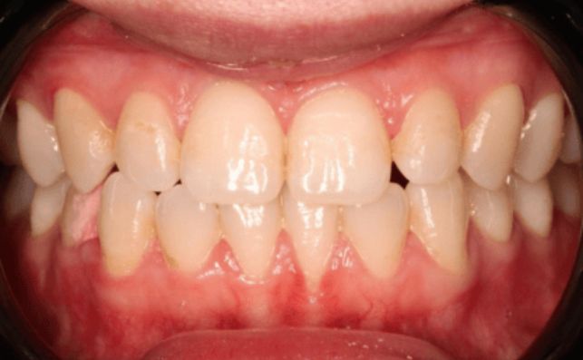
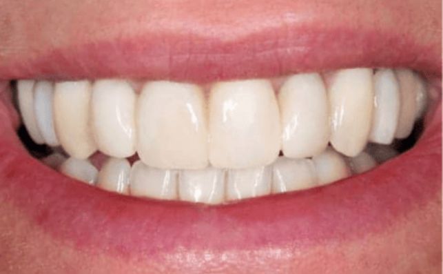
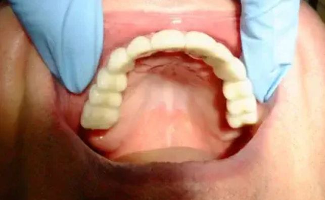
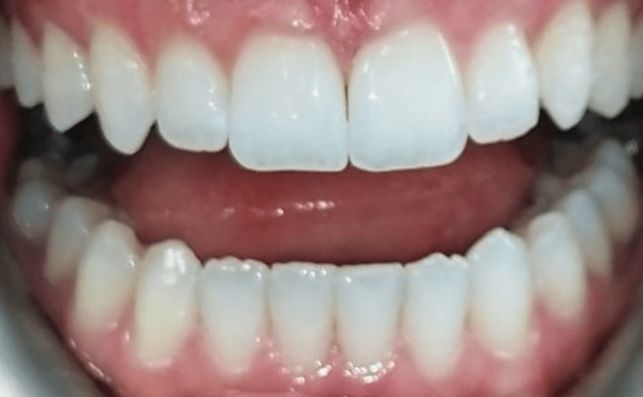
We welcome you to Park Lane Dental Centre, where we offer an array of comprehensive, general and cosmetic dentistry for the whole family. We are a compassionate, professional dental team in Wigan who are committed to keeping your oral health in the best possible shape. In addition, we strive to provide you and your family with a personalised experience. Keeping your smile healthy and beautiful is our priority. Our team can offer simple fillings, to complicated restorative dentistry treatments.
Learn More
We believe that money shouldn’t be a barrier to the treatment you need.
We have various finance options available to suit most circumstances.
